ジェットインジェクターアクトランザ® ラボ> See in English
アクトランザ® ラボは、瞬発的な動力源を用いて駆動するジェットインジェクターです。
射出によって生じる高速液流は瞬時に皮膚を通過し、組織内へ拡散して、細胞内への物質導入を可能にします。
製品特長


- 小動物(マウス・ラット)の投与に最適化
※一部、中・大動物にも対応 - 針を使わない低侵襲を実現
- 皮内投与、皮下投与、筋肉内投与が可能
- LNPやウイルスベクターを用いずに遺伝子導入
- 抗体開発、遺伝子発現、ワクチン実験に最適

ドラッグデリバリーシステムとしての
アクトランザ® ラボ
射出されたジェット流が細胞にシェアストレスを加え、細胞膜透過性またはエンドサイトーシスが促進されます。その結果、LNP(脂質ナノ粒子)やウイルスベクターなどのキャリアを使用せずともDNAやmRNAが細胞内へ導入されます。
代表的な用途

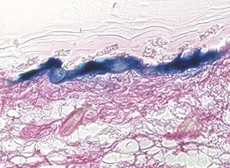
薬液分布
皮内の広範囲に薬液が分散される(インディアインク)

プラスミドDNAの効率的な細胞への導入
蛍光標識(Cy™3)プラスミドDNAが効率的に細胞内へ取り込まれ、核への移行が行われていることが示唆される(ピンク色の顆粒様蛍光がプラスミドDNAが導入された細胞核)
※Cy™ は、Cytiva の商標です。
GFP遺伝子発現
GFP遺伝子をコードしたプラスミドDNAによるGFPの発現(緑色領域がGFP由来の蛍光)

LacZ遺伝子発現
LacZ遺伝子をコードしたプラスミドDNAによるβ-ガラクトシダーゼの発現(青色染色領域が発現部位)
構成パーツと機能概要

1コントロールユニット

- 握りやすい形状
- 繰り返し使用
- 誤作動防止安全機構
2アクチュエータ

- マウス用・ラット用を用途に応じて選択可能
- カートリッジ交換式の駆動ユニット
- シングルユース
3コンテナユニット

- 充填用アダプタ付
- 電子線照射済
- 投与量は10,20,30,50µL選択可能
- シングルユース
製品仕様
| サイズ | 150mm×57mm×35mm |
|---|---|
| 重量 | 140g |
| 電源 | AC電源(100-240V) |
| アクチュエータ種類 | マウス用、ラット用 |
| コンテナユニット容量 | 10µL、20µL、30µL、50µL |
製品ラインナップ
| 製品名 | 本数/箱 | 製品コード | |
|---|---|---|---|
| アクチュエータ | マウス | 5本 | AL-2A1MD-J5 |
| ラット | 5本 | AL-2A1RD-J5 | |
| コンテナユニット (充填用アダプタ付き)※ | 10µL | 5本 | AL-1C10-J5 |
| 20µL | 5本 | AL-1C20-J5 | |
| 30µL | 5本 | AL-1C30-J5 | |
| 50µL | 5本 | AL-1C50-J5 | |
| コントロールユニット (ACアダプタ付属) | AL-P1A | ||
※コンテナユニットの製品名はコンテナユニット容量を元にした数字です。 投与量を示すものではありません。
- アクトランザ® ラボは動物実験を目的とした理化学機器です。臨床目的において使用することはできません。
- 製品の仕様は予告なく変更することがありますのでご了承ください。
Publications
- A new, patient-friendly, needleless methotrexate administration method using the pyro-drive jet injector in rats, Mikiko Shimizu et al., Scientific Reports. 2025 November 12;15(1):39599.
https://doi.org/10.1038/s41598-025-23302-6 - Intradermal Injection of a Protein Alone Without Additional Adjuvants Using a Needle-Free Pyro-Drive Jet Injector Induces Potent CD8+ T Cell-Mediated Antitumor Immunity, Jukito Sonoda et al., International Journal of Molecular Sciences. 2025 May 7;26(9):4442.
https://doi.org/10.3390/ijms26094442 - Carrier-free mRNA vaccine induces robust immunity against SARS-CoV-2 in mice and non-human primates without systemic reactogenicity, Saed Abbasi et al., Molecular Therapy. 2024 May 1;32(5):1266-1283.
https://doi.org/10.1016/j.ymthe.2024.03.022 - Induction of potent antitumor immunity by intradermal DNA injection using a novel needle-free pyro-drive jet injector, Shinya Inoue et al., Cancer Science, Volume114, Issue1, January 2023, Pages 34-47.
https://doi.org/10.1111/cas.15542 - Phase I Study to Assess the Safety and Immunogenicity of an Intradermal COVID-19 DNA Vaccine Administered Using a Pyro-Drive Jet Injector in Healthy Adults, Hironori Nakagami et al., Vaccines 2022, 10(9), 1427.
https://doi.org/10.3390/vaccines10091427 - Immune response induced in rodents by anti-CoVid19 plasmid DNA vaccine via pyro-drive jet injector inoculation, Tomoyuki Nishikawa et al., Immunological Medicine, Volume 45, 2022 - Issue 4, Pages 251-264.
https://doi.org/10.1080/25785826.2022.2111905 - Mechanism of jet injector-induced plasmid DNA uptake: Contribution of shear stress and endocytosis, Hiroshi Miyazaki et al., International Journal of Pharmaceutics. Volume 609, 20 November 2021, 121200.
https://doi.org/10.1016/j.ijpharm.2021.121200 - 『創薬研究者・アカデミア研究者が知っておくべき最新の免疫学とその応用技術』 第6節 DNAワクチンを投与する新規無針デバイスの開発, 伊賀 弘充, 鈴木 崇将, 宮﨑 洋, 技術情報協会, 2021年8月
- Gene transfer by pyro-drive jet injector is a novel therapeutic approach for muscle diseases,Takafumi Nakae et al., Gene. Volume 788, 1 July 2021, 145664.
https://doi.org/10.1016/j.gene.2021.145664 - Anti-CoVid19 plasmid DNA vaccine induces a potent immune response in rodents by Pyro-drive Jet Injector intradermal inoculation, Tomoyuki Nishikawa et al., bioRxiv, Posted January 14, 2021.
https://doi.org/10.1101/2021.01.13.426436 - Stable Immune Response Induced by Intradermal DNA Vaccination by a Novel Needleless Pyro-Drive Jet Injector, C.Chang et al., AAPS PharmSciTech. 21, Article number: 19 (2020) .
https://doi.org/10.1208/s12249-019-1564-z - Development of Pyro-Drive Jet Injector With Controllable Jet Pressure, H.Miyazaki et al., Journal of Pharmaceutical Sciences. 2019 Jul;108(7): 2415-2420.
https://doi.org/10.1016/j.xphs.2019.02.021 - Estimation of High-Speed Liquid-Jet Velocity Using a Pyro Jet Injector, Naohisa Takagaki et al., Scientific Reports Rep 9, 19859 (2019).
https://doi.org/10.1038/s41598-019-56511-x
関連リリース
- 2025年6月16日
- 第25回日本抗加齢医学会総会でのランチョンセミナー講演のお知らせ
超高齢化社会における老化関連疾患への課題解決を目指した新しい技術の紹介
https://www.daicel.com/news/2025/20250606_1121.html
- 2024年4月11日
- 東京医科歯科大学 内田智士教授による米国 World Vaccine Congress 2024でのご講演
ダイセルの「アクトランザ® ラボ」を用いたmRNA ワクチンの研究
https://www.daicel.com/news/2024/20240411_958.html
- 2023年10月13日
- 米国PharmaJet社への出資について
https://www.daicel.com/news/2023/20231013_890.html
- 2023年5月8日
- 国立大学法人熊本大学と包括連携協定を締結
https://www.daicel.com/news/assets/pdf/20230508_3.pdf
- 2022年6月14日
- 新規投与デバイス「アクトランザ™ ラボ」の販売開始
https://www.daicel.com/news/assets/pdf/20220614.pdf